Брянская испытательная лаборатория ФГБУ «ВНИИЗЖ» предоставляет новую услугу для владельцев домашних питомцев
В Брянской испытательной лаборатории ФГБУ «ВНИИЗЖ» освоено новое диагностическое направление – цитологическое исследование клинического материала от непродуктивных животных.
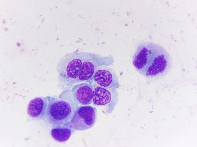
В Брянской испытательной лаборатории ФГБУ «ВНИИЗЖ» освоено новое диагностическое направление – цитологическое исследование клинического материала от непродуктивных животных. Специалисты отдела серологии и лептоспироза прошли обучающий курс из 4 модулей в ветеринарной цитологической школе при ветеринарной клинике «Биоконтроль» (г. Москва).
В ходе практических занятий по темам: «Цитологическое исследование кожи, молочной железы, желудочно-кишечного тракта, дыхательной системы, органов брюшной полости» обучающиеся освоили технику приготовления цитологических препаратов, провели оценку цитологической картины.
Для сведения:
В настоящее время метод цитологической диагностики в ветеринарии имеет такое же важное значение, как и в медицине, применяется для постановки диагноза при новообразованиях различной этиологии.
Основное назначение цитологического метода — получить ответ на вопрос о наличии или отсутствии злокачественного новообразования. В процессе дифференциальной диагностики определяется характер патологического процесса и устанавливаются воспалительные, реактивные, пролиферативные или предраковые поражения, а также доброкачественные опухоли.
В Брянской испытательной лаборатории ФГБУ «ВНИИЗЖ» созданы все условия для проведения цитологических исследований. Отбор клинического материала проводится лечащим ветеринарным врачом в Брянской ветеринарной клинике ФГБУ «ВНИИЗЖ». Квалифицированные специалисты и новейшее лабораторное оборудование позволяют получить достоверные результаты исследований. Узнать подробную информацию о стоимости и сроках проведения исследований можно по адресу: Брянская область, Брянский район, с. Супонево, ул. Шоссейная 7. Тел. 8 (4832) 92-17-40, почта: [email protected], VK: arriah_bryansk и Telegram: t.me/bmvl32 .
Последние новости
Проблема не в драйвере: как распознать неисправность самого серводвигателя
Учимся отличать сбои управляющей электроники от поломок моторного узла
Можно ли починить сервопривод самому? Что говорит опытный инженер
Когда поломка — вызов, а отвёртка — главный аргумент

Пожизненно осужденный убийца подал иск о компенсации морального вреда к защищавшему его адвокату
Пожизненно осужденный житель Брянска обратился в Бежицкий районный суд г. Брянска с иском к своему адвокату, в котором просил взыскать компенсацию морального вреда.
Куда пойти с детьми в Уфе: 10 весёлых мест на выходные
Идеи для семейного отдыха в столице Башкортостана — от активных игр до познавательных музеев